当院でのインプラント
▲下線部をクリックするとその項目まで移動します
当院のインプラント4つの特徴
1.個室での手術
インプラントは手術を伴うため、より衛生的な空間で行う必要があります。
当院では、完全個室の診療室で手術を行います。

2.インプラント技術の研鑽
インプラント技術は日々進歩しています。
最良なインプラント治療を提供するため、インプラントの会に定期的に参加し、技術の研鑽を図っています。
3.切開のないインプラント
当院では、患者さんの身体への負担を軽減するため、切開しないインプラント(フラップレス術式)を取り入れています。
切開しないため、術後の腫れや出血はほとんどありません。
※症例によっては適用できない場合があります

4.術後の徹底したメインテナンス
インプラントを長持ちさせるには、日々のメインテナンスが重要です。
当院では、患者様のインプラントが長持ちするよう、歯科衛生士による徹底したメインテナンスを実施しています。

インプラント治療例
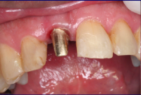
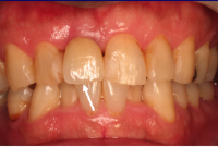
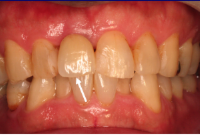
治療例1



前歯のインプラント治療例です。
折れてしまった歯の代わりに、インプラントを埋入しました。
隣のご自分の歯と比べ、色や形もより自然に仕上げることができます。




































